
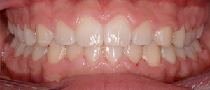
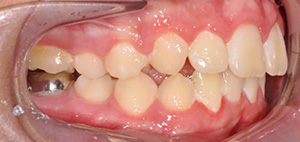
Actual Patient Before and Afters
Incredible results and inspiring journeys; see some of our patients’ before and after photos the next time you visit our practice.


























































Incredible results and inspiring journeys; see some of our patients’ before and after photos the next time you visit our practice.